
The outside of the foot is generally where the pain is felt when cuboid syndrome exists. It is often misdiagnosed, and this can happen from the gradual onset of this condition. It is known to be a common ailment among ballet dancers and happens when the ligaments and joints surrounding the cuboid bone get injured. One of the first symptoms of cuboid syndrome consists of sharp pain underneath the pinky toe. Additional symptoms can include red skin around the injured area, and it may be difficult to move or twist the ankle. Research has shown it may be necessary to move the bone back into its original place, followed by taping the foot. Mild relief may be felt when the affected foot is elevated, and this may help to reduce some of the swelling. Many patients can return to their chosen activity that caused the syndrome after several weeks after the healing process has been completed. If you have injured your foot, please consult with a podiatrist who can properly diagnose and treat cuboid syndrome.
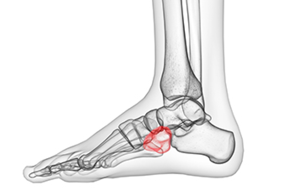
Cuboid syndrome, also known as cuboid subluxation, occurs when the joints and ligaments near the cuboid bone in the foot become torn. If you have cuboid syndrome, consult with Barbara J. Aung, DPM from Aung Foot Health Clinic . Our doctor will assess your condition and provide you with quality foot and ankle treatment.
Cuboid syndrome is a common cause of lateral foot pain, which is pain on the outside of the foot. The condition may happen suddenly due to an ankle sprain, or it may develop slowly overtime from repetitive tension through the bone and surrounding structures.
Causes
The most common causes of cuboid syndrome include:
- Injury – The most common cause of this ailment is an ankle sprain.
- Repetitive Strain – Tension placed through the peroneus longus muscle from repetitive activities such as jumping and running may cause excessive traction on the bone causing it to sublux.
- Altered Foot Biomechanics – Most people suffering from cuboid subluxation have flat feet.
Symptoms
A common symptom of cuboid syndrome is pain along the outside of the foot which can be felt in the ankle and toes. This pain may create walking difficulties and may cause those with the condition to walk with a limp.
Diagnosis
Diagnosis of cuboid syndrome is often difficult, and it is often misdiagnosed. X-rays, MRIs and CT scans often fail to properly show the cuboid subluxation. Although there isn’t a specific test used to diagnose cuboid syndrome, your podiatrist will usually check if pain is felt while pressing firmly on the cuboid bone of your foot.
Treatment
Just as the range of causes varies widely, so do treatments. Some more common treatments are ice therapy, rest, exercise, taping, and orthotics.
If you have any questions, please feel free to contact our office located in Tuscon, AZ . We offer the newest diagnostic and treatment technologies for all your foot care needs.
